Ortodoncia y estética dental de calidad
Visítenos en:
General Paz 217, El Carmen, Jujuy
Frente a la rotonda de la ruta 40, Susques, Jujuy
Envíenos un correo:
Contáctenos:
Quiénes somos
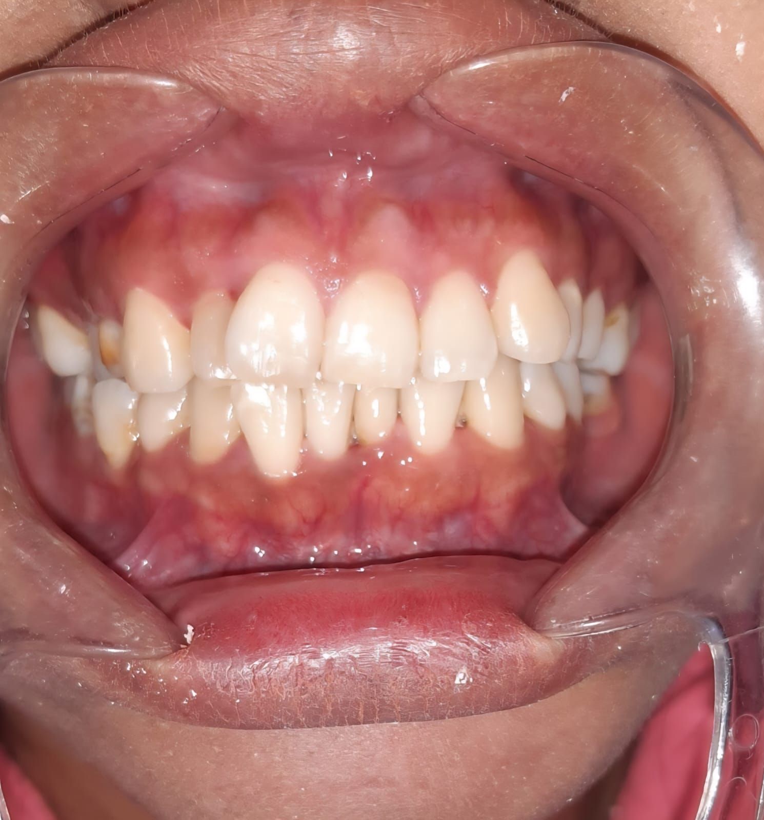
Sonreí sin límites: tratamientos personalizados
En
Doctora Adriana Vilca, priorizamos la atención personalizada y garantizamos resultados estéticos de alta calidad con tecnología avanzada.
Ofrecemos tratamientos odontológicos personalizados que integran tecnología moderna y enfoque estético. Nuestra experiencia nos permite realizar procedimientos complejos con atención al detalle y compromiso con tu salud bucal.
Un trato cercano y profesional
En cada consulta, la doctora Adriana Vilca ofrece una atención integral y cálida, enfocada en las necesidades y comodidad de cada paciente. Creemos que una buena experiencia odontológica empieza por escuchar, acompañar y brindar confianza en cada etapa del tratamiento.
Combinamos tecnología moderna con empatía profesional, para que cada visita sea positiva, segura y sin estrés.
Comunicación clara y seguimiento post-tratamiento
Atención personalizada para todas las edades
Tecnología avanzada y tratamientos en el día
Enfoque preventivo y estético
NUESTROS SERVICIOS
Tu sonrisa merece el mejor cuidado. Ofrecemos tratamientos personalizados que combinan tecnología avanzada y estética dental para lograr resultados duraderos y naturales.
Ortodoncia avanzada
Corrige tu sonrisa con brackets y alineadores modernos que garantizan confort y resultados precisos.
Endodoncia express
Tratamiento rápido, indoloro y finalizado en el día con tecnología mecanizada.
Prótesis personalizadas
Soluciones fijas y removibles que aseguran confort, funcionalidad y estética.
Carillas e incrustaciones estéticas
Transformá tu sonrisa con acabados naturales y materiales de alta calidad.
Cirugías odontológicas seguras
Procedimientos precisos para una salud bucal óptima, realizados con máxima seguridad.
Limpieza y control integral
Mantené tu boca sana con limpiezas profesionales y revisiones periódicas.














